Se presenta a la consulta paciente femenina de 21 años de edad, soltera, referida para realizarle tratamiento de conducto en Lateral Superior Izquierdo (#10). De acuerdo a los datos narrados en su historia médica se encuentra en buen estado de salud general.
Al examen clínico; presenta simetría facial normal, ausencia de molestias, pérdida de tejido dentario en la cara palatina.
A las pruebas diagnósticas no hubo respuesta al vitalometro o prueba eléctrica, ni al frío ni al calor. A la percusión y a la palpación hubo una respuesta normal.
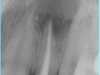
Al examen radiográfico, se observa una zona radiolúcida que ocupa todo el espacio de la cámara pulpar. Presencia de un sólo conducto recto a todo lo largo. Ensanchamiento del espacio del ligamento periodontal. Gran zona radiolúcida en el área periapical sugestiva de lesión periapical.
Diagnóstico: Necrosis Pulpar con lesión periapical.
Tratamiento Indicado: Necropulpectomía.
Pronóstico: Favorable.
En este caso nos encontramos frente a un proceso inflamatorio, que no es más que un mecanismo de defensa de los seres vivos, el cual representa una respuesta a las agresiones sufridas por los tejidos mesenquimaticos que involucra elementos vasculares y celulares.
Plan de Tratamiento:
- Anestesia con lidocaína al 2%
- Aislación Absoluta
- Apertura y Localización del conducto
- Irrigación con Clorhexidina al 2%
- Conductometría
- Técnica de Preparación Biomecánica Convencional
- Medicación Intraconducto con CaOH2 en tres ocasiones
- Instrumentación final con EDTA
- Irrigación con agua destilada
- Secado con conos de papel
- Obturación con la Técnica de Condensación Lateral con gutapercha y cemento de óxido de cinc y eugenol
Controles clínicos radiográficos a partir de los tres meses de finalizado.
Objetivos de colocar el CaOH2:
El hidróxido de calcio (CaOH2) su uso fue introducido en 1920 por B.W. Hermann. Es un polvo blanco alcalino pH 12.8, poco soluble en agua. Indicado como medicación intraconducto, solución irrigadora, tratamiento de reabsorciones, cemento sellador, reparación de perforaciones, recubrimientos pulpares, apexificación y apexogenesis. Posee un alto poder antiséptico y antimicrobiano. Estimula condiciones favorables de reparación de los tejidos. Podemos observar una vez finalizado el tratamiento como toda esa zona radiolúcida se reparaba por la acción del CaOH2 en varias ocasiones y completado el proceso de reparación con el tratamiento de conducto en los controles radiográficos a distancia del tiempo. El diente permanece en boca; funcionalmente y sin presentar evidencias de signos y la paciente se encuentra asintomática.
Autor: Dra. Rosanna Chaljub - Especialista en Endodoncia


